子どもの矯正の種類

子どもの矯正の種類

可撤式矯正装置

可撤式矯正装置は、取り外しが可能な矯正装置です。
子ども一人でも取り外しができるタイプになります。

固定式矯正装置

固定式矯正装置は歯にブラケット等を接着しワイヤーで動かす方法です。
ワイヤーを装着するので、自ら取り外しができないタイプになります。

顎外固定装置

顎外固定装置は、顎やおでこなど、口の外で装置を固定して、矯正をする装置です。
口の中に装置を入れて矯正をするタイプもあります。

可撤式矯正装置の種類

透明で見た目が目立ちにくい

インビザラインファースト

インビザラインファーストは、薄い透明なマウスピース矯正装置を着用して矯正をする方法です。

拡大床

拡大床は、顎の横幅を広げる治療方法です。
上顎と下顎のバランスが悪い場合や歯がおさまるスペースが足りない場合に装着します。

拡大床
プレオルソ

プレオルソ

プレオルソは、舌や口周りの筋肉を鍛え、顎の成長を促すマウスピース型の矯正装置です。
永久歯に生え変わっていない子どもが対象で、口呼吸や舌の癖を改善します。

バイオネーター

バイオネーターは、ワイヤーとプラスチックで作られた装置で、ネジで調節します。
下顎の成長が遅い場合と、上顎が前に出ている場合に選択されます。

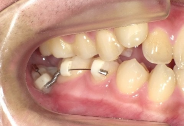
リップバンバー

リップバンバーは、前歯にパッドを、奥歯にバンドを装着し、唇の力で歯をおさめるスペースを作る装置です。
下顎の矯正時に使用する装置となっています。

ツインブロック

ツインブロックは上下の顎に装着する矯正装置です。噛むタイミングで上下の装置が滑り台のように動き、下顎を正しい位置になるよう調整していきます。
下顎が奥に引っ込んでいる出っ歯の子どもに使用されます。

F.K.O(アクチバトール)

F.K.O(アクチバトール)は、口の中に装置を入れて矯正をしていきます。
下顎よりも上顎が前方に出ており、噛み合わせが深い子どもや出っ歯の子どもの矯正治療で使用されます。

マイオブレース

マイオブレースは、永久歯に生え変わる前の子どもが対象で、シリコン製のマウスピース型の装置です。
口周りの筋肉や口呼吸の癖を改善するために使用されます。

固定式矯正装置の種類

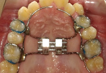
急速拡大装置

急速拡大装置

急速拡大装置歯は上顎に装着する装置で、ネジを回して顎の横幅を広げていきます。
上顎が成長しきっていない8〜12歳の子どもの矯正時に選択されます。

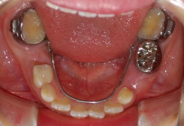
リンガルアーチ

リンガルアーチは、歯の裏側に装着するワイヤー式の装置です。
受け口や叢生の改善、永久歯がおさまるスペースを確保します。

リンガルアーチ
部分ワイヤー

部分ワイヤー

部分ワイヤーは、奥歯前歯の表面にブラケットを装着しワイヤーを通す装置です。
出っ歯や受け口・叢生・開咬を改善するために使用されますが、噛み合わせに問題がない子どもが対象となります。

クワドヘリックス

リンガルアーチは、歯の裏側に装着するワイヤー式の装置です。
受け口や叢生の改善、永久歯がおさまるスペースを確保します。

タングガード

タングガードは、舌で前歯を押す癖を改善する装置です。
正しい位置に舌を置けるようになるため、舌癖の改善効果も期待できます。

GMD・ペンデュラム

GMD・ペンデュラムは、奥歯に装置を固定し、歯を動かす装置です。
抜歯をせずとも、歯並びを改善できます。

顎外固定装置の種類

チンキャップ

チンキャップは、帽子に似た装置を被り、下顎の成長を遅くする装置です。
頭にかぶる部分にカップがつながっており、下顎に取り付けて上顎と下顎のバランスを整えます。

ヘッドギア

ヘッドギアは、歯にバンドを装着し、フェイスボウと呼ばれる細い棒をネックストラップもしくはヘッドストラップをつなげる装置です。
下顎よりも上顎の成長が早い場合や下顎と比べて上顎が前に出ている場合、出っ歯を改善する場合に使用されます。

上顎前方牽引装置

上顎前方牽引装置は、口の中のフックとマスクのフックをゴムで繋ぐ装置です。
ゴムを牽引する力で、上顎の成長を促進させられることから、受け口を改善できます。

中学生以降の子どもの矯正の種類

ワイヤー矯正

ワイヤー矯正は、歯の裏側もしくは表側にブラケットとワイヤーを装着し、ワイヤーの力で歯を動かす固定式矯正装置です。
表側の矯正は、歯の表面にブラケットを装着するため、目立つ点がデメリットです。しかし、対応できる症例の幅が広いため、重度の方でも歯並びを綺麗にできます。
一方、裏側の矯正は装置が前から見えにくいため、見た目を気にせずに矯正できます。しかし、表側のワイヤー矯正よりも費用が高くなる点がデメリットです。

マウスピース矯正

マウスピース矯正

マウスピース矯正は、マウスピースを装着して歯を動かしたり、顎を広げたりする方法です。
ワイヤーやブラケットを装着する必要がなく、マウスピースが透明なため、矯正していることがバレにくいのが特徴です。
さらに、取り外しが可能なため、食事や歯磨きも、矯正開始前と同様の生活が送れるのがメリットです。
しかし、1日20〜22時間の装着が必要な点がデメリットとなっています。

小児矯正の種類の選び方

症状に合った装置を選ぶ

矯正装置は、目的や適応となる症状がそれぞれ異なります。小児矯正をする場合は、症状に適した装置を選ぶことが重要です。
歯科医院によって取り扱いのある装置が異なるため、前もってチェックをしておくことをおすすめします。

矯正前に目的を明確にする

矯正治療は、治療を始める前に目的を明確にすることが重要です。小児矯正は大人と異なり、1期治療と2期治療に分けられます。
1期治療は顎の成長をサポートして、永久歯がおさまるための基盤を作ることが目的です。2期治療は、歯の位置や噛み合わせを調整していきます。
永久歯に生え変わる前しか使えない装置もあるため、歯の状態と目標を明確にしたうえで選ぶことが重要です。

ライフスタイルに合わせた矯正を選ぶ

お子さまの歯列矯正を成功させるためには、ライフスタイルに合わせて選ぶことも重要です。代表的な矯正方法のマウスピース矯正は自身で着脱が可能ですが、学校でも取り外しをしなければなりません。ワイヤー矯正は取り外しができず、歯磨きや食事のしにくくなる可能性があります。
このように、矯正方法によって特徴が異なるため、子どものライフスタイルに合う治療方法を選びましょう。

費用や矯正の期間を確認する

小児矯正は基本的に自由診療のため、費用が高額になりやすいです。矯正装置によっても費用や矯正にかかる期間が異なるため、費用や矯正期間をもとに治療方法を決定するのもおすすめです。
費用は歯科医院によっても異なるため、複数の見積もりや治療計画をもとに決めると良いでしょう。